cosmetic-enamel-contouring
Applied Procedures:
Cosmetic Enamel Contouring
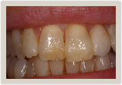
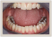
![]() |
![]() |
| Before Photo | After Photo |
Malpositioned, long, or uneven edges can be trimmed and shaped without anesthetic to improve a smile at minimal cost.
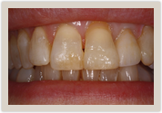
![]() |
![]() |
| Before Photo | After Photo |
Early 60's male has chipped tooth since age 16 when he was hit by umbrella. Composite filling was added and the edges of both central incisors were gently recontoured to create a more even and youthful appearance. Comfortably done without being made numb.
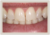
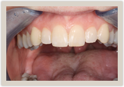
![]() |
![]() |
| Before Photo | After Photo |
Chip on outside edge of right central incisor was filled in with composite and then the remaining edge was smoothed out. Mid-chip on left central incisor was gently blended out to match the right side.
Applied Procedures:
Cosmetic Enamel Contouring
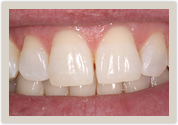
![]() |
![]() |
| Before Photo | After Photo |
Smooth and even rough edges on front teeth with no need for local anesthetic.
Applied Procedures:
Cosmetic Enamel Contouring
![]() |
![]() |
| Before Photo | After Photo |
Evening out the central incisors.
Applied Procedures:
Cosmetic Enamel Contouring
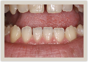
![]() |
![]() |
| Before Photo | After Photo |
![]() |
![]() |
| Before Photo | After Photo |
Patient very unhappy with "pointy" canines. Also the two front teeth are uneven with chipped edges. Canines were reduced and rounded, creating a softer look. The two front teeth were smoothed and had their length discrepancy evened out. Patient was ecstatic.
May eventually lengthen the shorter lateral incisors with porcelain veneers to create a more even and balanced look.
Applied Procedures:
Cosmetic Enamel Contouring
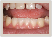
![]() |
![]() |
| Before Photo | After Photo |
Chief complaint of upper left central incisor was chipped and also longer than right central incosor which also had some minor chipping. Perfect candidate for non invasive evening out and blending the length of the teeth with no anesthetic required. Patient was delighted with the result.
Applied Procedures:
Cosmetic Enamel Contouring
![]() |
![]() |
| Before Photo | After Photo |
"I did not like my lower teeth looking like 'baby' teeth, so I asked Dr Sandler if he could smooth off the bumps. Now I feel like I have 'grown-up' teeth."



























