dental-bonding
![]() |
![]() |
| Before Photo | After Photo |
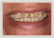
"Reverse" (upsidedown) smile was corrected by reducing and evening the lower front teeth to create more room allowing lengthening of the upper teeth without braces. Porcelain crowns on the 4 front teeth and lengthening the canines with composite bonding.
![]() |
![]() |
| Before Photo | After Photo |
![]() |
![]() |
| Before Photo | After Photo |
At age 15, patient had small "peg lateral" incisors which were built up to normal size with cosmetic bonding.
10 years later the bonding chipped on the left tooth, and both picked up staining and became darker than the surrounding teeth. The bonding was replaced with all porcelain crowns which never stain, so the color remains stable, and they are stronger (more fracture resistant).















