dental-veneers
![]() |
![]() |
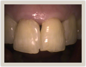
| Before Photo | After Photo |
![]() |
![]() |
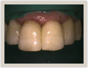
| Before Photo | After Photo |
Poorly executed old dental bonding in the 1st before photo was stripped away from the natural teeth revealing spaces and black triangles between each tooth in the 2nd before photo. Patient is thrilled with her upgraded smile using only dental white composite fillings to give the appearance of straight teeth and make the black holes in the smile disappear!













