microabrasion-white-or-brown-spot-removal
Applied Procedures:
Microabrasion (White or brown spot removal)
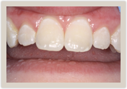
![]() |
![]() |
| Before Photo | After Photo |
![]() |
![]() |
| Before Photo | After Photo |
This patient was so self conscious about the white spots on her front teeth that she did not smile. Enamel abrasion or "Microabrasion" removes a paper thin layer of the outer tooth surface, eliminating the white spots. This young lady was very happy with the results. No filling was needed.
Applied Procedures:
Microabrasion (White or brown spot removal)
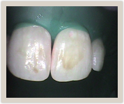
![]() |
![]() |
| Before Photo | Partial stain removal |
![]() |
![]() |
| Complete stain removal | After Photo |
Athletic late teen is unhappy with brown spots on both front teeth. Brown discoloration probably due to trauma from a fall as a toddler, resulting in baby teeth root tips banging into these adult teeth while the outer enamel was still forming. Brown discoloration was deep, requiring removal of half the enamel outer layer. Replaced outer layer with matching tooth colored bonding. Patient was psyched! Loved it! This can be done without being made numb.
Applied Procedures:
Microabrasion (White or brown spot removal)
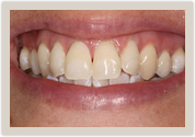
![]() |
![]() |
| Photo 1-White Spot | Photo 2-initial removal |
![]() |
![]() |
| Photo 3-complete removal | Photo 4-Final Fill |
This young woman seeked this office out to remove a white spot from her front tooth that became much worse when she smiled and the tooth dried out. This aesthetic aberration bothered her tremendously. The white decalcified spot was very deep and not a candidate for microabrasion. It was necessary to remove a considerable amount of tooth structure to eliminate the weakened tooth structure and replace it with a filling that blended in nicely with the rest of her tooth structure. The patient was ecstatic. She said, "I can now smile with confidence!"
Applied Procedures:
Microabrasion (White or brown spot removal)
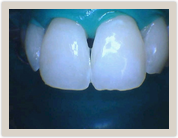
![]() |
![]() |
| Before Photo | After Photo |
![]() |
![]() |
| Before Photo | After Photo |
This young mother hated the brown and white spots on her front teeth and sought us out. Only one tooth needed a filling. All other disfigurements were removed with conservative microabrasion. She was seen six month later and everything looks perfect. She is thrilled!

























