porcelain-veneers
![]() |
![]() |
| Before Photo | After Photo |
![]() |
![]() |
| Before Photo | After Photo |
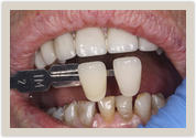
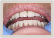
Replaced the right lateral incisor veneer which was chipped, short, and demonstrated gum recession.
![]() |
![]() |
| Before Photo | After Photo |
Patient was unhappy with her lower front teeth between the staining, darkness, spaces and black triangles. She loves the new veneers, allowing her to smile with confidence!















