Composite Fillings
Applied Procedures:
Composite Fillings
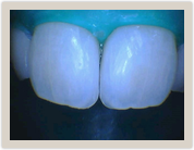
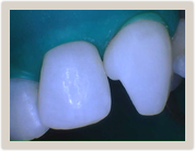
![]() |
![]() |
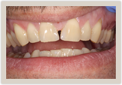
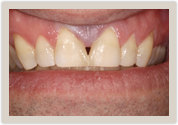
| Before Photo | After Photo |
Lengthened the right central incisor (which is worn and short) to match the left central incisor with tooth colored filling material.
Applied Procedures:
Composite Fillings
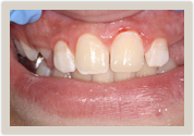
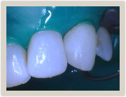
![]() |
![]() |
| Before Photo | After Photo |
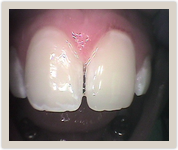
![]() |
![]() |
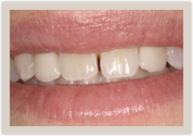
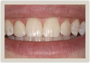
| Before Photo | After Photo |
This teenager was socially embarrassed by an unesthetic recent buildup on the left central incisor after having the lower half fractured by a baseball which required root canal treatment. The previous buildup was obvious due to a visible horizontal line, too square, too dark, and too forward at the overly thined biting edge. Stripped all old filling, placed a white post in the root canal to increase retention, and rebuilt with a filling that disappears into the tooth. This tooth will eventually need an all porcelain crown when the patient stops growing and the oral tissues mature. Adjacent teeth look white, due to temporary dehydration during procedure. Color matches lower hydrated teeth which are color correct.
Applied Procedures:
Composite Fillings
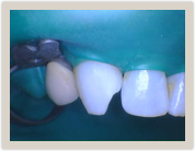
![]() |
![]() |
| Before Photo | After Photo |
![]() |
![]() |
| Before Photo | After Photo |
This Teenager was born with two teeth with malformed enamel which was not decayed but cosmetically upsetting. He loves the improved result!
![]() |
![]() |
| Before Photo | After Photo |
Early 60's male has chipped tooth since age 16 when he was hit by umbrella. Composite filling was added and the edges of both central incisors were gently recontoured to create a more even and youthful appearance. Comfortably done without being made numb.
![]() |
![]() |
| Before Photo | After Photo |
Chip on outside edge of right central incisor was filled in with composite and then the remaining edge was smoothed out. Mid-chip on left central incisor was gently blended out to match the right side.
Applied Procedures:
Composite Fillings
![]() |
![]() |
| Before Photo | After Photo |
Patient had not seen a dentist in 10 years. Had large wrap-around tooth colored fillings on his front teeth that were discolored, leaky, stained, and poorly contoured with overhangs and fresh cavities (holes). He was thrilled with the upgrade with new composite fillings. No crowns!
Applied Procedures:
Composite Fillings
![]() |
![]() |
| Before Photo | After Photo |
![]() |
![]() |
| Before Photo | After Photo |
This patient disliked the way the space was closed between his teeth by another office years ago. After stripping off the old bonding, new bonding was placed to patient's satisfaction.
Applied Procedures:
Composite Fillings
![]() |
![]() |
| Before Photo | After Photo |
Had not seen a dentist in 12 years. Needed to have stained, yellow, decayed fillings replaced and some fresh holes filled in.Outstanding result with just white fillings.
![]() |
![]() |
| Before Photo | After Photo |
![]() |
![]() |
| Before Photo | After Photo |
Patient hated the black triangle between her lower front teeth. With modern techniques, thanks to Bioclear forms, we can create an aesthetic result without cutting teeth or bonding with more expensive porcelain (4 times the cost). This was a relatively inexpensive procedure.
Applied Procedures:
Composite Fillings
![]() |
![]() |
| Before Photo | After Photo |
![]() |
![]() |
| Before Photo | After Photo |
Patient unhappy with space between teeth. Closeup reveals old worn composite contributing to incomplete closure of space between upper front teeth. Old bonding stripped off and meticulous closure created an ideal result with no black triangles in between. Patient was delighted with the outcome.
Applied Procedures:
Composite Fillings
![]() |
![]() |
| Before Photo | After Photo |
![]() |
![]() |
| Before Photo | After Photo |
Teen fractured previously repaired tooth that was breaking down (note brown stain that was under filling) in 2015. Clean up brown stain and rebond. Still intact in 2021 with no breakdown.
![]() |
![]() |
| Before Photo | After Photo |
![]() |
![]() |
| Before Photo | After Photo |
This patient did not like the dark space next to the canines caused by the sharp pointy angles of those teeth. After whitening the teeth, some simple cosmetic composite bonding (with no need for local anesthetic) filled in the dark spaces in the smile with a more pleasing contour. Patient loved it!!!
Applied Procedures:
Composite Fillings
![]() |
![]() |
| Before Photo | After Photo |
![]() |
![]() |
| Before Photo | After Photo |
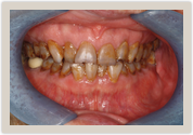
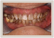
Patient was a heavy smoker for years, but quit after being treated for oral cancer and wished to have 50 years of stubborn brown stain stuck to her enamel removed and all the holes cleaned up, filled, and the broken edges rebuilt out to the original tooth length. The brown stain was challenging and required sand blasted to remove it from the enamel. She was ecstatic with the result!



















































