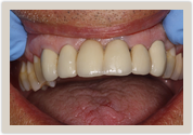
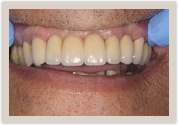
Dental Bridges
Applied Procedures:
Dental Bridges
![]() |
![]() |
| Before Photo | After Photo |
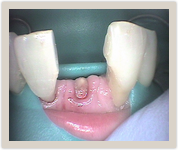
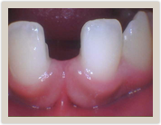
Applied Procedures:
Dental Bridges
![]() |
![]() |
| Before Photo | After Photo |
![]() |
![]() |
| Before Photo | After Photo |
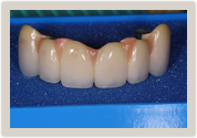
"Pink porcelain" which mimics the gums greatly improves the appearance of the malpositioned lateral incisors on this 6 tooth bridge.
Applied Procedures:
Dental Bridges
![]() |
![]() |
| Before Photo | After Photo |
Cap FZ (cad/cam milled solid zirconium) tooth colored bridge of the 3 upper left rear teeth replacing previous porcelain fused to metal bridge.
![]() |
![]() |
| Before Photo | After Photo |
Applied Procedures:
Dental Bridges
![]() |
![]() |
| Before Photo | Porcelain Bridge Before Insert |
![]() |
![]() |
| Before Photo | After Photo |
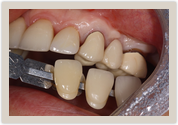
Due to a root fracture, this senior patient lost his right central incisor. It was replaced with an all porcelain (IPS e.max) 3 tooth bridge. The middle tooth, which is attached to the two outer teeth, is fake. Patient was thrilled with the result.
Applied Procedures:
Dental Bridges
![]() |
![]() |
| Before Photo | After Photo |
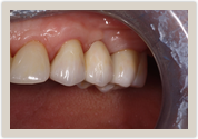
Missing her right central incisor for years, this senior now loves her new smile , complimented by a 3 tooth IPS e.max all ceramic bridge
Applied Procedures:
Dental Bridges
![]() |
![]() |
| Before Photo | After Photo |
![]() |
![]() |
| Before Photo | After Photo |
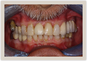
This patient had a 28 year old, 6 tooth anterior bridge due to a football injury 40 years ago. Due to external resorption (the bone cells act like Pacman on the roots) 2 additional teeth needed to be removed expanding the bridge to 8 teeth. The patient loves the new bridge even more
Applied Procedures:
Dental Bridges
![]() |
![]() |
| Before Photo | After Photo |
![]() |
![]() |
| Before Photo | After Photo |
Resin Bonded Retainer (Maryland) Bridges: Patient was unhappy with yellow color of the lateral incisors of her 10 year old bonded bridges, requesting new bridges which are bonded on the backs of the existing front teeth
Applied Procedures:
Dental Bridges
![]() |
![]() |
| Before Photo | After Photo |
![]() |
![]() |
| Before Photo | After Photo |
This delightful patient snapped off their lower front incisor at the gumline. The fragment was temporarily bonded to the adjacent teeth until the root fragment was removed, then placed in a temporary bridge for 6 months so the patient never walked around with a missing tooth in their smile.
You will notice the beautiful all-white Zirconium bridge in the after photos provide a very natural result. Patient was very happy.
Applied Procedures:
Dental Bridges
![]() |
![]() |
| Before Photo | After Photo |
![]() |
![]() |
| Before Photo | After Photo |
A resin-bonded "Maryland Bridge" was designed after orthodontic treatment to replace two missing adult teeth, minimizing the need to trim down the adjacent teeth.
Applied Procedures:
Dental Bridges
![]() |
![]() |
| Before Photo | After Photo |
![]() |
![]() |
| Before Photo | After Photo |
This patient's right central incisor was going to snap off any day due to root resorption. The tooth was in poor position and patient never smiled. The tooth was removed and replaced with a temporary bridge which looked much better. After a year to allow healing of the bone and gums, we made the final bridge. Notice the patient trimmed his mustache back to show off his new smile, instead of hiding his smile.
Applied Procedures:
Dental Bridges
![]() |
![]() |
| Before Photo | After Photo |
![]() |
![]() |
| Before Photo | After Photo |
Patient had an implant which failed and decided they would rather have a bridge. This removes the complication of matching the adjacent tooth's unique characteristics which is extremely difficult esthetically with the two front upper teeth. The other before photo was with a "flipper" or temporary removeable denture to replace the missing tooth.

















































