Dental Bonding
Applied Procedures:
Dental Bonding
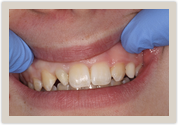
![]() |
![]() |
| Before Photo | After Photo |
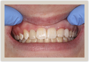
![]() |
![]() |
| Before Photo | After Photo |
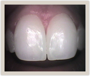
This young woman was born with a right "peg" lateral incisor and without her left lateral incisor. Her left canine has taken the place of her left lateral incisor and her baby canine is in the position her adult left canine was supposed to occupy, creating a disproportionate smile. On her right side the peg lateral incisor was built up to normal anatomy (see close-ups). The larger left canine was reduced, reshaped and bonded to resemble a normal left lateral incisor. the left baby canine was built up to look like a normal left canine. She was very happy with the outcome. Parents were happy with conservative, much less expensive treatment than porcelain veneers.
Applied Procedures:
Dental Bonding
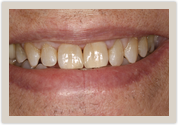
![]() |
![]() |
| Before Photo | After Photo |
Patient is ecstatic with closure of her midline space between her upper central incisors with just a simple tooth colored composite filling.
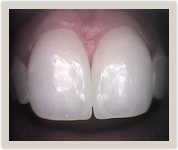
![]() |
![]() |
| Before Photo | After Photo |
![]() |
![]() |
| Before Photo | After Photo |
Poorly executed old dental bonding in the 1st before photo was stripped away from the natural teeth revealing spaces and black triangles between each tooth in the 2nd before photo. Patient is thrilled with her upgraded smile using only dental white composite fillings to give the appearance of straight teeth and make the black holes in the smile disappear!
Applied Procedures:
Dental Bonding
![]() |
![]() |
| Before Photo | After Photo |
![]() |
![]() |
| Before Photo | After Photo |
Stripped off old, stained composite bonding to reveal narrow teeth with wide space between. Closed space by conservatively adding new composite bonding with no cutting of the teeth. Patient was delighted.
Applied Procedures:
Dental Bonding
![]() |
![]() |
| Before Photo | After Photo |
![]() |
![]() |
| Before Photo | After Photo |
This patient came to us 5 years ago, very unhappy with the appearance of her teeth, with missing teeth, lower crowding, broken teeth (note the two upper front teeth, etc. A full rehabilitation was commenced. We removed the hopeless teeth, cleaned up her gums, replaced her decaying metal fillings with new white ones, and rebuilt fractured teeth. She then had braces to straighten out her remaining teeth and 3 premolar implants filled in missing teeth to give her smile a full lovely appearance before an important family event.



























