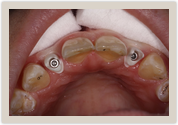
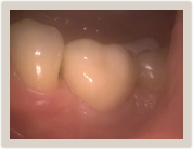
Dental Implants
Applied Procedures:
Dental Implants
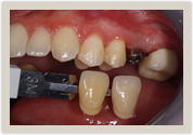
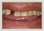
![]() |
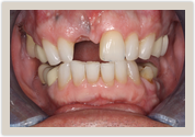
![]() |
| step1-Impression | step2-crown |
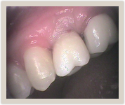
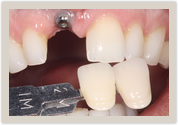
![]() |
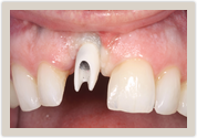
![]() |
| step3-implant | step4-screw-in crown |
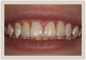
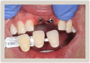
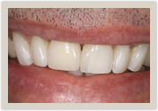
Screw Retained Implant Supported Crown
Applied Procedures:
Dental Implants
![]() |
![]() |
| step5-screw access covered | step6-finished implant crown |
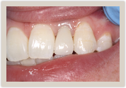
Screw Retained Implant Supported Crown
Applied Procedures:
Dental Implants
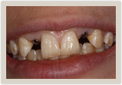
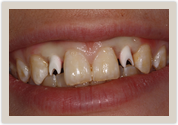
![]() |
![]() |
| Before Photo | After Photo |
Before- Zirconium abutment screwed into impant, After- Zirconium crown cemented to zirconium abutment
Note-very difficult to match color to an existing central incisor
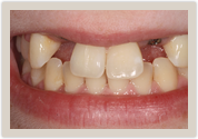
Applied Procedures:
Dental Implants
![]() |
![]() |
| Before Photo-Implant Healing Cap | Zirconium Implant Abutments |
![]() |
![]() |
| Implant abutment Screws | After Photo-Implant Crowns |
Born without lateral incisors, braces were used to correctly align the teeth to create proper spacing and positioning before implants were surgically placed,custom zirconium abutments were screwed into the implants, and porcelain crowns were cemented
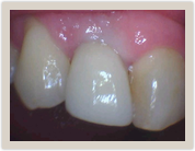
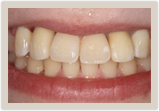
Applied Procedures:
Dental Implants
![]() |
![]() |
| Before Photo | After Photo |
Replaced this teenager's congenitally missing(born without) upper lateral incisors after orthodontic repositioning.
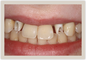
Applied Procedures:
Dental Implants
![]() |
![]() |
| Before Photo | After Photo |
![]() |
![]() |
| Before Photo | After Photo |
This young woman was born without her left lateral incisor. After braces as a teenager, she wore a removable one tooth retainer to fill in the missing tooth for many years. The very narrow space necessitated a very narrow one piece implant. The patient was very satisfied with the result and happy to be finished wearing the retainer all the time.
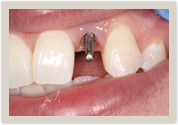
Applied Procedures:
Dental Implants
![]() |
![]() |
| 1-Implant | 2-Crown |
![]() |
![]() |
| 3-Crown Seated with Screw | 4-Screw Access Sealed |
Implant Supported Screw Retained Crown was placed without local anesthetic. Patient was very comfortable without being numb!
Applied Procedures:
Dental Implants
![]() |
![]() |
| Before Photo | After Photo |
![]() |
![]() |
| Before Photo | After Photo |
Lower left molar looks very lifelike after it was screwed into the titanium implant. No anesthetic was needed.
Applied Procedures:
Dental Implants
![]() |
![]() |
| Before Photo | After Photo |
![]() |
![]() |
| Before Photo | After Photo |
An example of a two piece implant. Due to the angle of the implant being influenced by the anatomy of the bone, the path of the screw holding in the implant would be through the front of the tooth. This would make a one piece implant impractical. A separate abutment is screwed in first, followed by cementing the crown over the abutment, making for a very natural look and feel.
Applied Procedures:
Dental Implants
![]() |
![]() |
| Before Photo | After Photo |
![]() |
![]() |
| Before Photo | After Photo |
Due to a childhood accident, this patient has been without his two front teeth for 14 years. He was wearing a removable appliance which he greatly disliked.The before photo below shows the implant healing caps. The after photo below demonstrates the white zirconium abutments screwed into place that the final crowns will be cemented to. He was on a cloud when he left the office. The natural lateral incisors may require some lengthening with porcelain veneers at a later date.
Applied Procedures:
Dental Implants
![]() |
![]() |
| Before Photo | After Photo |
![]() |
![]() |
| Before Photo | After Photo |
Patient lost the right lateral incisor due to poorly performed root canal treatment with subsequent root fracture. With meticulous positioning of the implant by the oral surgeon, we were fortunate to be able insert a single piece screw retained crown which is significantly less money, easier to repair, and more reliable. Patient was thrilled with the result.
Applied Procedures:
Dental Implants
![]() |
![]() |
| Before Implant | After Implant |
![]() |
![]() |
| Implant abutment | Final Photo |
A difficult case referred by the oral surgeon. Front tooth loss resulting in upper bone loss resulting in a long tooth space. Space between the teeth was extra wide as well. Built up the adjacent tooth so the space between the teeth would be even/symmetrical, avoiding an extra wide implant tooth. All white zirconium abutment to mask out metal beneath. Final crown mirrors adjacent tooth in shape, size, and color reasonably well. Despite compromise of a longer tooth, it is shielded by a low smile line, hiding the length of the final crown. Patient was very happy with the final result and happy to kiss his denture flipper goodbye!
Applied Procedures:
Dental Implants
![]() |
![]() |
| Before Photo | After Photo |
![]() |
![]() |
| Before Photo | After Photo |
Patient was born without the upper lateral adult incisors. Braces set up the remaining teeth in their correct positions. Implants were placed in the position of the missing teeth. The lower left photo demonstrates the tooth colored abutments that the new crowns will be cemented to in the final photo. Patient is ecstatic with their new smile!!























































