microabrasion-white-brown-spot-removal
Applied Procedures:
Microabrasion (White & Brown Spot Removal)
![]() |
![]() |
| Before Photo | After Photo |
![]() |
![]() |
| Before Photo | After Photo |
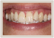
This young mother was very upset with her brown and white surface spots on her teeth. She seeked us out because was told by previous dentist that she would need 6 porcelain veneers to cover the stains which would result in significant tooth removal. This would have cost $6000-9000. she seeked a more conservative, biomimetic, and less costly alternative, Microabasion. No need to numb her as we meticulously removed the surface discolorations with ultrafine daimonds on her 6 front teeth and sealed them at a fraction of the cost of a simple filling (instead of costly veneers). Only one tooth on the far right required a small filling because the discoloration went too deep. The closeup photo demonstrates how the left tooth on the screen was already cleaned up, and the right tooth is cleaned up in the after photo.
She was thrilled!! We rcently saw her 2 years later and everything still looks fabulous!
Applied Procedures:
Microabrasion (white & brown spot removal)
![]() |
![]() |
| Before Photo | After Photo |
Was able to blend out white outlines created from decalcifications around ortho brackets with no anesthesia and no fillings.















