Teeth Whitening
![]() |
![]() |
| Before Photo | After Photo |
Applied Procedures:
Teeth Whitening
![]() |
![]() |
| Before Photo | After Photo |
Applied Procedures:
Teeth Whitening
![]() |
![]() |
| Before Photo | After Photo |
Patient wanted to replace bottom front crown with a lighter crown but needed to whiten the lower adjacent teeth first.Note the difference with the old crown in the after photo. Eventually, the unnaturally stark white teeth above will be corrected to match the lower teeth.
![]() |
![]() |
| Before Photo | After Photo |
Infected lateral incisors needed root canal treatment followed by internal single tooth whitening of these two teeth. Remaining front teeth had all their defective composite fillings replaced.
Applied Procedures:
Teeth Whitening
![]() |
![]() |
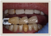
| Before Photo | After Photo |
Patient whitened 8 shades. Previous whitening with store bought products unsuccessful. Patient loves the result as you can see the before and after tabs in the after picture.
Applied Procedures:
Teeth Whitening
![]() |
![]() |
| Before Photo | After Photo |
Internal whitening of a tooth that had root canal treatment. Note how dark the upper root surface is in the before picture. The darkness was completely eliminated.
Applied Procedures:
Teeth Whitening
![]() |
![]() |
| Before Photo | After Photo |
The right lateral incisor (next to the dark shade tab) was dark due an auto accident requiring a root canal. This one tooth was "internally whitened" to brighten it up to the same shade as her two front teeth.
Applied Procedures:
Teeth Whitening
![]() |
![]() |
| Before Photo | After Photo |
While this patient had "white" porcelain crowns on his 4 upper front teeth, he wanted his darker lower teeth to match as well. We can see the difference with the starting and finishing shade tabs in the after photo. Patient was able to whiten lower teeth to match upper crowns.



























