Porcelain Crowns
Applied Procedures:
Porcelain Crowns
![]() |
![]() |
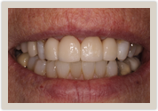
| Before Photo | After Photo |
This gentlman wanted to do something about his worn smile. He was very happy with the result. We evened out his lower teeth with some cosmetic recontouring and place 8 "full strength" Zirconium crowns on his upper teeth.
Applied Procedures:
Porcelain Crowns
![]() |
![]() |
| Before Photo | After Photo |
![]() |
![]() |
| Before Photo | After Photo |
As you can see in the two "Before" photos, this patient did not smile very much, having avoided the dentist for many years. The right front incisor crown was falling off from all the decay under the crown. This poor soul was very embarrassed, yet had the courage to come in for a consultation. Patient was sure they were headed for dentures. In one visit, under conscious sedation, we did several root canals, buildups, and fabricated 4 temporary acrylic crowns that you see in the first "After Photo". Patient cried tears of joy at their new smile and hugged me. Best feeling in the world. The temps remained for 4 years while the remaining dental needs were addressed, until finally 4 porcelain pressed to zirconium crowns were recently placed. As you can see, the smiles are even bigger!
![]() |
![]() |
| Before Photo | After Photo |
3 Anterior Porcelain Fused to Gold Crowns with a Precision Partial Denture replacing the remaining teeth with no clasps showing.
Applied Procedures:
Porcelain Crowns
![]() |
![]() |
| Before Photo | After Photo |
All porcelain crowns bonded on the four front teeth.
Applied Procedures:
Porcelain Crowns
![]() |
![]() |
| Before Photo | After Photo |
Placed 6 porcelain fused to gold crowns to correct for 1)the canines in place of missing lateral incisors,2)the disproportionate central incisors and 3) multiple root canals with large deteriorating white fillings
Applied Procedures:
Porcelain Crowns
![]() |
![]() |
| Before Photo | After Photo |
Two all porcelain crowns replacing the upper central incisors, which had a midline gap, worn down, and were cracking down the middle. Patient was delighted, stating "it makes me look 20 years younger!"
Applied Procedures:
Porcelain Crowns
![]() |
![]() |
| Before Photo | After Photo |
![]() |
![]() |
| Before Photo | After Photo |
This patient came to me asking me to recement the post attached to the crown that came out from the left central incisor. There was almost nothing to hold on to, due to almost no tooth left remaining beyond the gumline. Also in the before photos, there is a gap between the right central incisor crown and the right lateral incisor. To resolve these issues, both dead looking porcelain fused to metal crowns were removed, along with the metal posts, and white carbon fiber post/buildups were bonded with life like all porcelain E.max crowns. The right side gap was closed with a simple composite filling on the lateral incisor, evening out the smile.Patient was very happy, having the confidence to be able to smile without woorying their two front teeth could fall out.
![]() |
![]() |
| Before Photo | After Photo |
![]() |
![]() |
| Before Photo | After Photo |
This patient was frustrated because his new upper right front bridge, done elsewhere, embarrassingly kept falling out because there was almost no tooth left to retain it due to severe wear from his severe grinding habit.
We needed to redo the bridge, lengthen all the upper teeth, and replace 3 missing teeth with bridges by opening his bite to create enough room to attain the correct tooth height. He is thrilled with the result.
Applied Procedures:
Porcelain Crowns
![]() |
![]() |
| Before Photo | After Photo |
IPS e.max porcelain crowns restore severe wear on front teeth in this heavy grinder, while CapFZ pure zirconium crowns were used for the back teeth.
![]() |
![]() |
| Before Photo | After Photo |
Applied Procedures:
Porcelain Crowns
![]() |
![]() |
| Before Photo | After Photo |
Multiple large metal-mercury fillings are failing in this male senior on the lower left. A gold crown was placed on the rear 2nd molar for durability against breakage in this "grinder". Porcelain fused to 86% gold alloy crowns were placed on the 1st molar and 1st premolar with a simple white filling placed in the 2nd premolar. All of this was accomplished in 2 appointments.
Applied Procedures:
Porcelain Crowns
![]() |
![]() |
| Before Photo | After Photo |
6 all porcelain bonded crowns replace 1 porcelain fused to metal crown on the left lateral incisor and the remaining large, stained, composite fillings. This patient was delighted with her whiter and prettier smile!
Applied Procedures:
Porcelain Crowns
![]() |
![]() |
| Before Photo | After Photo |
![]() |
![]() |
| Before Photo | After Photo |
Eight solid Zirconium crowns were used to restore this patient's severely worn upper front teeth.
Applied Procedures:
Porcelain Crowns
![]() |
![]() |
| Before Photo | After Photo |
4 porcelain e.Max crowns, along with cosmetic recontouring of the lower teeth, improved this smile quite nicely.
Applied Procedures:
Porcelain Crowns
![]() |
![]() |
| Before Photo | After Photo |
6 "tuff", chip resistant, upper Zirconium crowns replaced the mismatched crowns and bondings on this patient who is a heavy grinder.
Applied Procedures:
Porcelain Crowns
![]() |
![]() |
| Before Photo | After Photo |
![]() |
![]() |
| Before Photo | After Photo |
Patient hated the stained edges, and receded dark roots of her old opaque Empress porcelain crowns. Replaced them with 4 new e.Max all porcelain more translucent crowns creating a bright dazzling smile with more natural tooth shapes. She beamed all the way out the door!
![]() |
![]() |
| Before Photo | After Photo |
"Reverse" (upsidedown) smile was corrected by reducing and evening the lower front teeth to create more room allowing lengthening of the upper teeth without braces. Porcelain crowns on the 4 front teeth and lengthening the canines with composite bonding.
![]() |
![]() |
| Before Photo | After Photo |
Old porcelain fused to metal crowns and a bridge were very short and were fracturing due to severe grinding. After tooth lengthening gum surgery, longer and much stronger all zirconium crowns and a bridge were placed on the 6 front teeth.
Applied Procedures:
Porcelain Crowns
![]() |
![]() |
| Before Photo | After Photo |
4 e.max porcelain crowns filled in the black triangles, made the stained fillings disappear, and lengthened the short central incisors to a more pleasing fuller smile.
Applied Procedures:
Porcelain Crowns
![]() |
![]() |
| Before Photo | After Photo |
Patient unhappy with left yellow tooth, extra wide, dominant central incisors, and multiple fillings that were breaking down. New smile is whiter with beautiful symmetry. Patient loves the new smile.
Applied Procedures:
Porcelain Crowns
![]() |
![]() |
| Before Photo | After Photo |
Patient came in asking if we could keep him from loosing his remaining teeth and out of dentures. Only one tooth was extracted. These are full zirconium crows with a left side bridge that is imperceptible.
Applied Procedures:
Porcelain Crowns
![]() |
![]() |
| Before Photo | After Photo |
Patient disappointed with old Porcelain fused to metal crowns on her front 2 teeth. Loves the new all porcelain crowns!
Applied Procedures:
Porcelain Crowns
![]() |
![]() |
| Before Photo | After Photo |
Patient had root canals as a child due to trauma on front two teeth and was very concerned her teeth turned grey. Two eMax cutback porcelain layered crowns corrected this issue to the patient's delight.
Applied Procedures:
Porcelain Crowns
![]() |
![]() |
| Before Photo | After Photo |
![]() |
![]() |
| Before Photo | After Photo |
This patient was told to have all their teeth removed and replace with implants because of constant decay and breakdown. Teeth were almost all composite fillings and really needed crowns. We placed the patient in temporary crowns for a year while getting their oral hygiene optimized. Patient was ecstatic to have a beautiful smile for their son's wedding.
Applied Procedures:
Porcelain Crowns
![]() |
![]() |
| Before Photo | After Photo |
![]() |
![]() |
| Before Photo | After Photo |
Three poorly done crowns done in South America by patients relative!!!
Terrible fit with wide open gaps between the crowns and the teeth, compounded by poorly done root canals that were re-infected and leaking pus in the mouth (see the red dot above the upper left gumline on the lower before photo). Root canal retreatment and new temporary crowns were done all in one visit, and after photo is of the new custom porcelain crowns with a now perfect seal.
Applied Procedures:
Porcelain Crowns
![]() |
![]() |
| Before Photo | After Photo |
![]() |
![]() |
| Before Photo | After Photo |
The final stage in this patient's treatment was to replace her 5 front porcelain fused to metal crowns which were very opaque and dead looking and creating dark lines at the gumline. All porcelain bonded crowns were fabricated, which allow light to pass through, so they are more life-like and visually behave more like natural teeth. Patient LOVES them!!!
Applied Procedures:
Porcelain Crowns
![]() |
![]() |
| Before Photo | After Photo |
This patient was unhappy with their smile. Complained the color was not uniform and did not like the shapes of their teeth. They had a lot of previous dental work, including veneers over large composite fillings which is not ideal because they easily leak and break down. All 6 upper front teeth were replaced with lifelike all porcelein e.Max single crowns. Patient LOVES their new smile!!!
Applied Procedures:
Porcelain Crowns
![]() |
![]() |
| Before Photo | After Photo |
Patient had old porcelain veneers on her to front teeth that dominated her smile with small lateral incisors and showed black triangles between her teeth. The new balanced smile looks more pleasing with 4 all porcelain crowns
![]() |
![]() |
| Before Photo | After Photo |
![]() |
![]() |
| Before Photo | After Photo |
At age 15, patient had small "peg lateral" incisors which were built up to normal size with cosmetic bonding.
10 years later the bonding chipped on the left tooth, and both picked up staining and became darker than the surrounding teeth. The bonding was replaced with all porcelain crowns which never stain, so the color remains stable, and they are stronger (more fracture resistant).
Applied Procedures:
Porcelain Crowns
![]() |
![]() |
| Before Photo | After Photo |
Four new porcelain crowns on the upper front teeth. Note how narrow the patient's right lateral incisor is and how much wider the old right central incisor crown appears. The left central incisor was shorter than the right due to wear erosion.
By crowning all 4 teeth at the same time, a more pleasing balance of shape and size is achieved, as well as the whiter teeth the patient desired. Note also the left upper canine had a gap which was closed at the insertion appointment with some simple composite bonding. Patient was thrilled with their new smile..





























































































